055.312.4252

AQUA ANIMAL HOSPITAL

올바른 치료, 수술은 역시 아쿠아동물메디컬

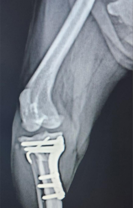
무릎 및 십자인대수술

TPLO : Tibial Plateau Leveling Osteotomy

강아지 후지파행의 한 원인인 전십자인대 단열의 경우에 시행하는 수술로서 최근 낭외재건술보다 우선 선택되는 수술법입니다.

강아지 무릎뼈탈구(슬개골탈구) 교정 수술

슬개골 탈구는 크게 2가지 원인으로 발병합니다. 선천적 탈구와, 외상성 탈구입니다. 수술은 보통 2.3기 때 시행되는 것이 추천됩니다. 수술하지 않으면 다리가 휘고, 퇴행성 관절염이 발병하여서 만성 통증으로 인해서 반려견이 매우 아파합니다.

슬개골 탈구 단계

1단계

  1. 슬개골에 힘을 주면 빠지지만, 곧 제자리로 돌아감
  2. 평소에는 다리를 잘 절지 않지만, 심한 운동이나 점프 후 다리를 저는 모습을 보임

2단계

  1. 탈구가 스스로도 일어나는 단계이며, 다리를 구부렸다 폈다 하는 행동으로 슬개골이 원위치로 돌아갈 수 있음
  2. 정상적인 보행이 어려울 수 있음

3단계

  1. 슬개골이 계속 탈구된 상태지만 제자리로 돌아갈 수 있음
  2. 골의 변형은 물론, 골을 지지하는 인대의 형태도 변형이 생김
  3. 수술을 하더라도 다리를 다소 절 수 있음

4단계

  1. 슬개골을 원위치로 돌아갈 수 없음
  2. 전십자인대 파열, 퇴행성관절염 등을 초래함

활차구 성형술
대퇴근막 중첩술
경골결절 변위술
경골회전방지&자봉합

슬개골 탈구 수술과정

  1. 1
  2. 2
  3. 3
  4. 4
  5. 5
  6. 6
  7. 7
  8. 8

무릎 및 십자인대수술